Adresse Physique
France,120 Avenue du Marquisat 31170 Tournefeuille/ Côte d'Ivoire, Abidjan Yopougon, Maroc
Adresse Physique
France,120 Avenue du Marquisat 31170 Tournefeuille/ Côte d'Ivoire, Abidjan Yopougon, Maroc

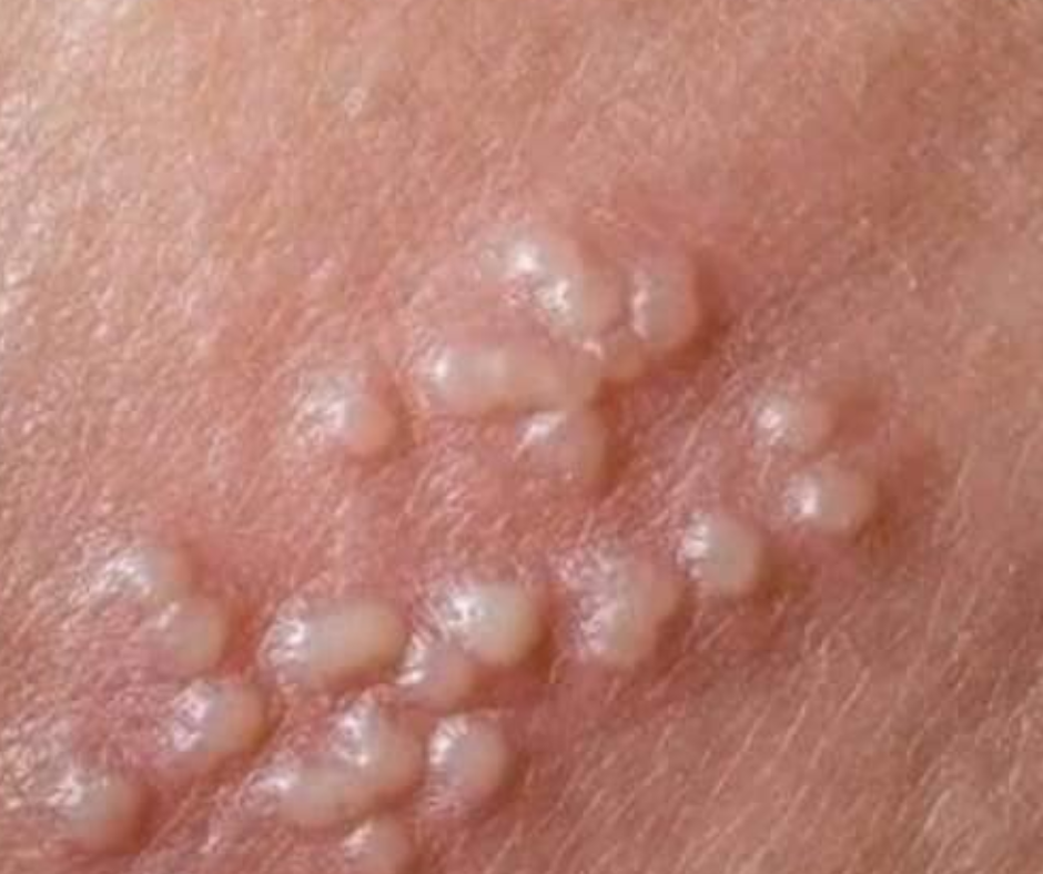
Comment faire partir l’herpès génital rapidement !
L’herpès génital est une infection virale courante qui peut être source d’inconfort et d’inquiétude. Bien qu’il ne soit pas dangereux pour la vie, il provoque souvent des démangeaisons, des picotements et de petites lésions douloureuses. Il est donc naturel de chercher à réduire rapidement ces symptômes pour retrouver un quotidien confortable.

L’herpès génital est causé par le virus HSV-1 ou HSV-2 et se transmet principalement par contact sexuel, même lorsque les symptômes ne sont pas visibles. Les manifestations typiques incluent des petites vésicules, des rougeurs, des brûlures ou des démangeaisons dans la zone génitale. Une poussée peut durer de quelques jours à deux semaines, et le virus reste présent dans l’organisme, ce qui signifie que des récidives sont possibles.
Il est important de savoir que l’herpès génital ne peut pas être éliminé complètement. Les traitements visent surtout à réduire la durée et l’intensité des symptômes, soulager la douleur et limiter le risque de transmission. Plus le traitement est commencé tôt, plus son efficacité est grande.
Les antiviraux, comme l’aciclovir ou le valaciclovir, sont les solutions les plus efficaces pour limiter rapidement les symptômes. Pris dès les premiers signes d’une poussée, ils permettent de réduire la propagation du virus et de raccourcir la durée de l’inconfort.
Pour compléter le traitement ou apaiser l’inconfort :
💡 Produit naturel recommandé : Huile essentielle de Tea Tree 100 % pure sur Amazon – une solution douce et efficace pour soulager les petites lésions cutanées liées à l’herpès.
Même si certaines méthodes naturelles peuvent aider, un suivi médical est essentiel dans certaines situations :
Si l’herpès génital ne peut pas disparaître du jour au lendemain, combiner traitements antiviraux, hygiène adaptée et soins naturels permet de réduire efficacement la durée et l’intensité des poussées. Ces mesures améliorent le confort, accélèrent la guérison et diminuent le risque de transmission. Pour une gestion optimale, associez ces solutions à un suivi médical régulier et à de bonnes habitudes de vie.
“Pour les soins cutanés liés aux infections virales, certaines méthodes naturelles peuvent aider à accélérer la guérison, comme expliqué dans notre guide sur comment enlever une verrue en 1 nuit.”
Comment nettoyer l’utérus après un avortement ?